junio 16, 2023
Ventajas y las múltiples opciones que brinda este material para atender una amplia gama de casos clínicos Es un material dental de cerámica híbrida avanzada para la fabricación de prótesis dentales que consiste en la combinación de una matriz de resina altamente curada y partículas poliméricas de polividrio. La combinación única de estos dos materiales crea un híbrido uniforme que da como resultado un material más resistente que la cerámica pura y un efecto de transmisión de luz similar al del esmalte natural. También encontramos el ceromero en composite de microrelleno fotopolimerizable y con atemperamiento por calor el cual esta […]
junio 2, 2023
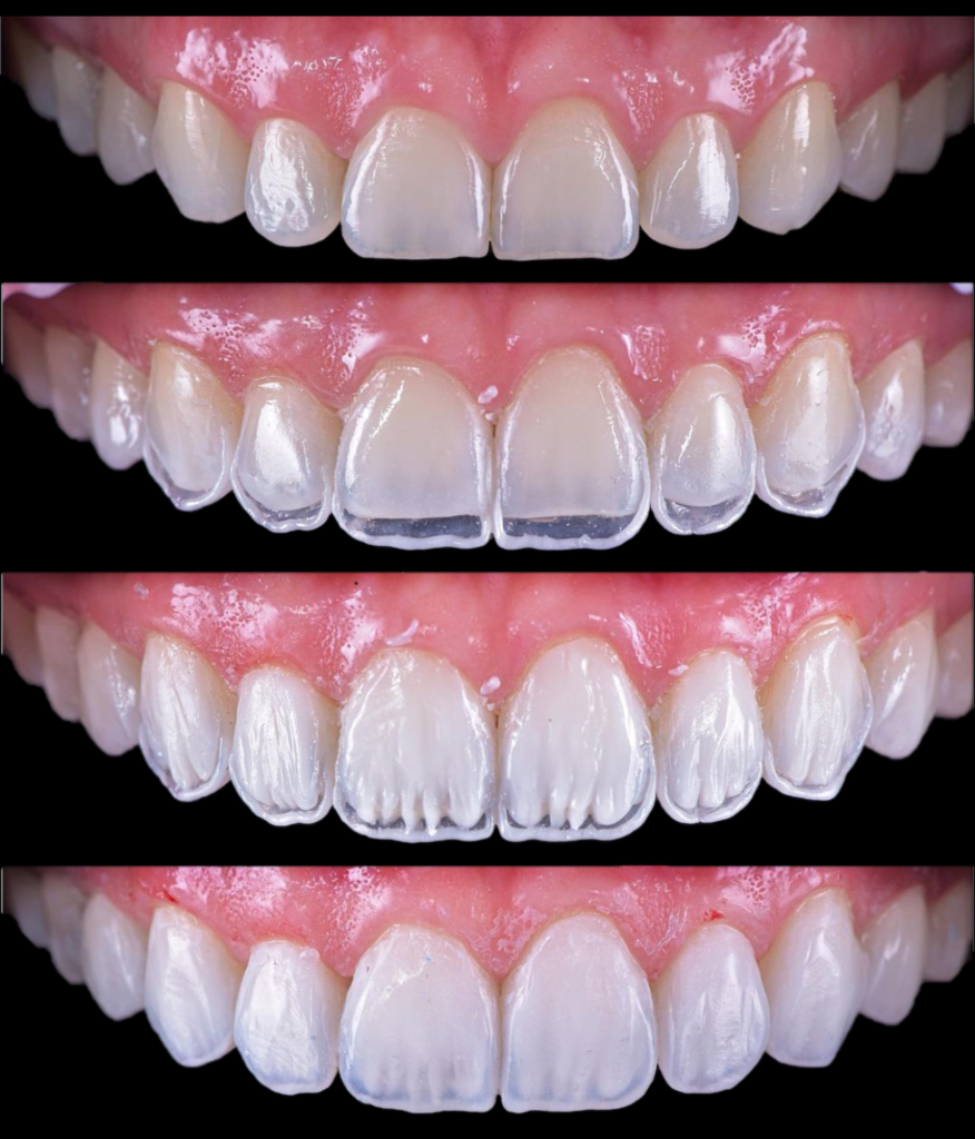
¿Por qué optar por estratificar con resinas compuestas? Con esta técnica proponemos una estética en capas con resinas compuestas para mejorar el color y la morfología a las restauraciones dentales. ¿Cómo lo conseguimos? mediante una coloración de adentro hacia fuera, al igual que la de los dientes naturales, el reto de la restauración radica no sólo en encontrar el color adecuado, sino que también conlleva un equilibrio entre la translucidez y la opacidad. En la técnica Estratificada en composites es muy importante saber diferenciar todas las capas a usar de enamel como capa de esmalte, es una capa más translucida […]
junio 2, 2023
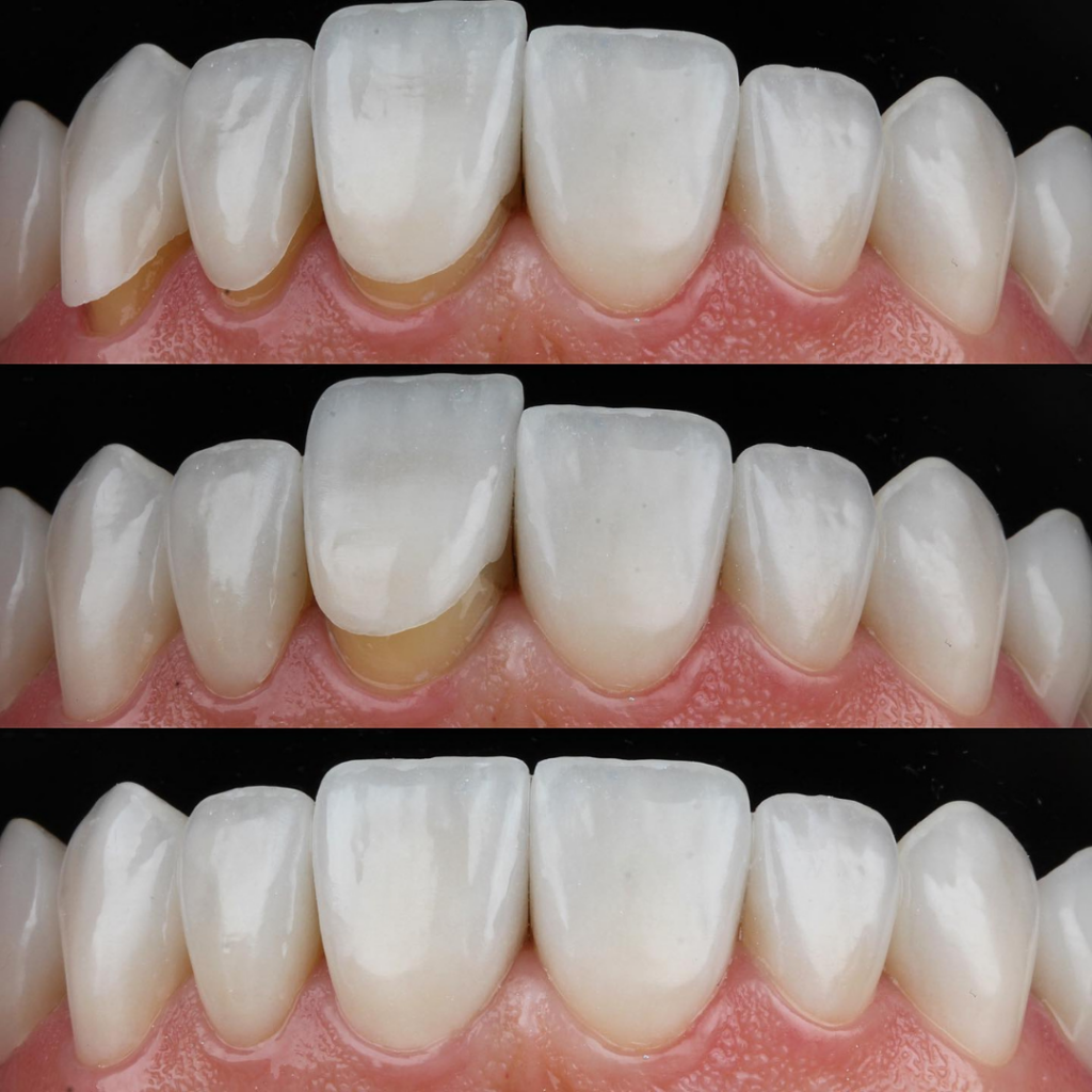
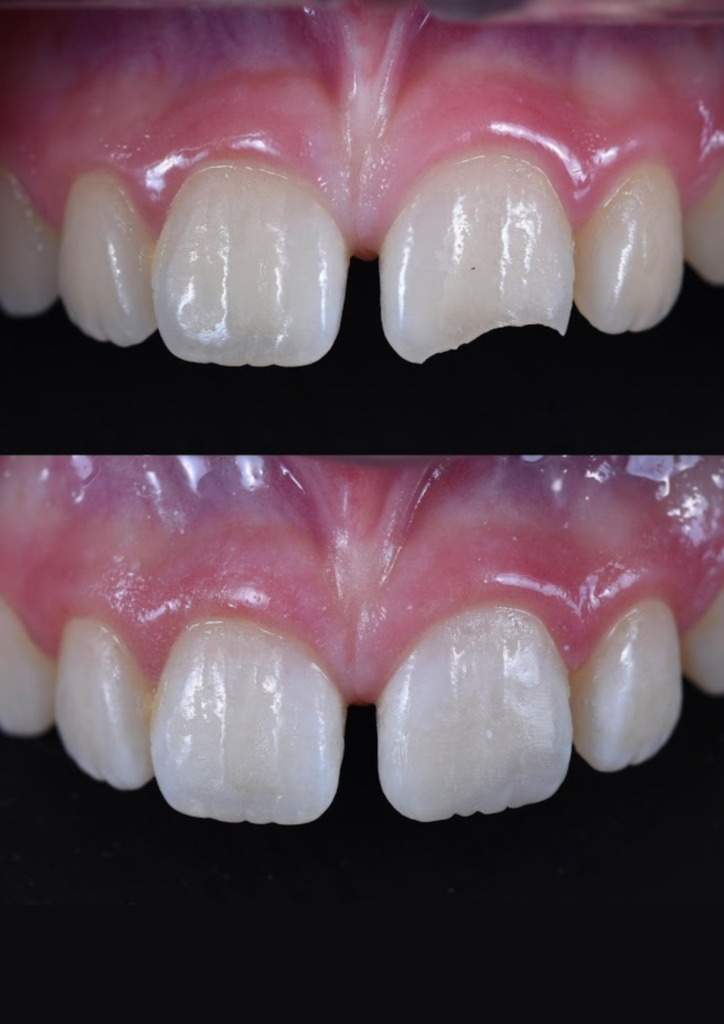
¿Quieres cambiar en una sola cita la sonrisa de tu paciente? Para realizar carillas directas de composite debes conocer exactamente las capas necesarias y conocer los composites los opaquers, los tintes… debes respetar cada capa de composite para no existe grietas y asegurarse de la fotopolimerizacion correcta del composite, se recomienda aproximadamente a 800. E Requiere la habilidad técnica y estética para reproducir el contorno correcto, la forma y la textura de la superficie de los dientes a reconstruir. La experiencia, los instrumentos y el control de las características del material a utilizar, que determinan la reproducción del color deseado. […]
junio 2, 2023
Aunque algunos autores recomiendan utilizar los instrumentales rotatorios en sentido del reloj, aquí te explicamos algunas de las diferencias: Si en el pulido, ya sea resinas compuestas, bis acrílica, independientemente del material, no conseguimos el brillo que queremos, se puede dar por dos factores: primero: el sistema rotatorio de mala calidad, y segundo y muy importante es no darle importancia al sentido del giro del instrumental rotatorio. Las piedras o fresas diamantadas, no tienen un giro especifico de corte, entonces el sentido aquí no importa. Los pulidores si, necesitan un giro especifico para ser correctamente eficientes en el pulido: -Espirales: […]
junio 2, 2023
La clave está en tus preparaciones dentales: Antes y durante tus preparaciones, debes considerar algunos factores importantes para que tus resultados sean predecibles: Tres tipos de preparación para las carillas anteriores, tipo “ventana” o intra esmalte, la cual se limita sólo al desgaste del esmalte de la pieza de 0,3 a 0,5 mm, la preparación tipo “pluma” o con reducción incisal, la cual tiene un mini chamfer incisal de hasta 1 mm, y la preparación tipo “overlap” o con solapa incisal que, además del desgaste vestibular y reducción incisal, tiene una preparación de tipo chamfer palatino, llegando así a una preparación […]
junio 2, 2023
¿Qué adhesivo usar para cementar tus carillas? Los protocolos adhesivos utilizados para cerámicas de Disilicato de Litio requieren: ácido grabador, primer, bonding, ácido fluorhídrico, silano, oxido de aluminio, monómeros funcionales y cementos resinosos. Está científicamente reconocido la necesidad de disponer de una conexión micromecánica y una unión química para obtener una adhesión más efectiva de las cerámicas de Disilicato de Litio. Clasificación de sistemas adhesivos El grabado ácido con ácido ortofosforico en dentina permitió remover la capa superficial del smear layer y acondicionar la capa superficial de la misma, removiendo parte del contenido inorgánico, permitiendo exponer la malla de colágeno y aumentar la […]
junio 2, 2023
¿Técnica directa o indirecta? Lo principal y fundamental previo a cualquier tratamiento, es la planificación… pero, ¿por qué es tan importante esto? Provisionales desde mock up: Técnica Directa: Aquí trabajamos en boca, aunque esta técnica no es apta para todo tipo de diseño, nosotros aquí recomendamos cuando el objetivo del paciente es cambiar forma, tamaño, color y oclusión clase I ya sea para carillas o coronas o ambas en el mismo diseño, es decir para cambios muy limitados y simples podéis usar esta técnica, sin pasar por el encerado diagnostico del laboratorio dental. No recomendamos cuando existe ausencia de piezas […]
junio 2, 2023
Definimos a las resinas Bisacrilicas como materiales libres de metil-metacrilato, que contienen en su composicion BIS-GMA Y UDMA. Aunque no todas las marcas. La función de la resina bisabrilica es dar estabilidad a los provisionales y preservar los tejidos duros y blandos en tratamientos de larga duración. Debe cumplir una serie de caracteristicas y funciones: Ventajas de las resinas bisacrilicas: -Fácil manipulación: el uso de cartuchos y puntas de automezcla permite las proporciones adecuadas de material, como también poder dispensarlo en la llave de silicona. -Alta resistencia: los materiales bisacrilicos nos permiten obtener resistencia de hasta 123.6MPa en comparación con […]
junio 2, 2023
El sellado dentinario inmediato previo a la toma de impresión, es un proceso fundamental y nos simplifica una correcta adhesión. Antes y durante tus preparaciones debes considerar algunos factores importantes para que tus resultados sean predecibles y tu trabajo final sea un éxito
junio 2, 2023
¿Qué sistema cerámico estará indicado en cada caso? Cuando optar por Carillas Feldespáticas estratificadas o Feldespáticas maquilladas? y cuando elegir Disilitato maquillado o Disilicato estratificado? si las 4 opciones son correctas, nosotros recomendamos tener en cuenta los niveles de opacidad. Especificamente, con el Disilicato de Litio , tenemos 5 niveles de opacidad: HT, MT, LT, MO, HO, es la cerámica vítrea mas estética por su resistencia y flexibilidad para la tecnología de inyección y CAD/CAM. Y siguiendo las indicaciones de los niveles de opacidad de este material cerámico sabremos cual estará indicado para cada caso clínico. HT Gracias a su […]
junio 2, 2023
¿Qué abordaje utilizas para opacar tu sustrato desfavorable? Los opacadores, a diferencia de la resinas de dentina, permiten un mínimo paso del uz y bloquean el fondo en pequeños espesores, 0.2 mm aproximadamente. Los opacadores, a diferencia de la resinas de dentina, permiten un mínimo paso de luz y bloquean el fondo en pequeños espesores, 0.2 mm aproximadamente. Protocolo de opacar un muñón metalico: Asegúrese que tiene el espacio adecuado para colocar sobre el retenedor metálico el opacador (0.2mm), la dentina (0.5 mm ) y posteriormente la restauración. La mejor manera para verificar el espacio adecuado mediante una matriz transversal, […]
junio 2, 2023
¿Qué instrumento rotatorio utilizas para maximizar el resultado de tus tratamientos? En el mundo de los dentistas disponemos de una gran variedad de instrumentos rotatorios en odontología. Estas piezas son las que, unidas a los acoples de las mangueras del equipo dental (del cual si quieres más información puedes ir a echar un vistazo nuestra entrada dedicada a los equipos dentales), efectúan los movimientos rotatorios deseados con el fin de mover una fresa colocada en su extremo. Uno de los instrumentos rotatorios en odontología más conocidos y utilizados con mayor frecuencia es el que está compuesto de turbinas de alta velocidad. […]
mayo 23, 2023
Hoy en día, cada vez más personas se preocupan por la estética de su sonrisa, por lo que acuden a las clínicas dentales en busca de los mejores tratamientos al respecto. Para estos tratamientos, el encerado de diagnóstico dental es un paso fundamental. Desde International Center of Dental Aesthetics hemos querido elaborar este post para explicar la importancia de este procedimiento y las ventajas que supone para el resultado final. Conocer esta técnica del encerado de diagnóstico te dará muchas facilidades y agilizará el proceso de forma considerable. ¿Qué es el encerado de diagnóstico dental? Se conoce como encerado de […]
mayo 23, 2023
DIFERENCIAS ENTRE LAS CARILLAS DE PORCELANA Y LAS CARILLAS DE COMPOSITE Aunque corresponderá al odontólogo la evaluación de las características dentales del paciente y as de este modo poder asesorarle en cuanto al tipo de carilla le puede convenir más, a pesar de esto es conveniente que el propio paciente conozca las diferencias que existen entre las carillas de porcelana y las carillas de composite para ayudarles a tomar la mejor decisión. Por eso vamos a comentar unos puntos, importantes: En cualquier caso, los dos tipos de carillas explicados, pueden conseguir resultados estéticos muy satisfactorios para el paciente, pero la elección del material […]
mayo 23, 2023
Actualmente, existen modernas técnicas para saber cómo cementar carillas de porcelana, estas técnicas de cementado tienen en cuenta la fabricación y colocación de carillas de porcelana de manera muy fina para lograr una mínima eliminación de la estructura dental. El cementado es un proceso fundamental para lograr una buena adhesión a la boca de las carillas dentales, las cuales son esenciales para conseguir una estética dental óptima. ¿Cómo cementar carillas de porcelana? En este tipo de carillas se pueden emplear distintos cementos dentales para conseguir una buena adhesión por medio de unas láminas muy finas al diente. Su principal objetivo es mejorar la […]
mayo 23, 2023
Las carillas de porcelana son una de las soluciones más demandadas entre los pacientes que buscan mejorar su estética dental. La aplicación de estas carillas posee una serie de ventajas, algunas de ellas son: Resuelve problemas en dientes rotos o torcidos de manera fácil y sencilla. Posee mejor calidad en comparación a las carillas de composite. No requiere de mantenimiento. Posee una gran resistencia al desgaste o rotura y, además, es prácticamente imperceptible. Por todo ello, en International Center of Dental Aesthetics te sugerimos que amplíes o inicies tus conocimientos sobre estos tratamientos estético-dentales con la tecnología más actualizada por medio […]
mayo 23, 2023
Debido a la evolución de los materiales de composite, las carillas de composite con técnica estratificada suponen hoy en día una solución válida, rápida y más asequible para la rehabilitación estética en la región anterior. Sin embargo, la estética y los resultados funcionales satisfactorios dependen en gran medida de que el odontólogo tenga un buen conocimiento de los procesos de adherencia y de su capacidad de esculpido. Distintos procesos y herramientas pueden ayudar al odontólogo a restaurar correctamente el perfil de emergencia. Entre ellos, destaca la nueva matriz Única anterior por su simplicidad y su versatilidad, que permite restaurar de […]
mayo 23, 2023
En la técnica de cementado adhesivo, destacando la importancia de conseguir retención micromecánica y química con cada material y la necesidad de controlar pequeños detalles que pueden hacer fracasar nuestro cementado. Del adecuado cumplimiento de los distintos pasos en la preparación de las distintas superficies dependerá el éxito o fracaso del cementado. Los cementos de resina utilizados con técnica adhesiva estarán especialmente indicados, dependerá, según nos encontremos, solo con esmalte, esmalte y dentina, composites, esmalte más dentina sellada. Para cada uno de ellos recomendamos una técnica y un protocolo específico para garantizar la adhesión y el éxito en tus carillas dentales.


















